The remarkable clinical success of mRNA vaccines in preventing COVID-19, driven by their ability to rapidly induce robust immune responses, has paved the way for new frontiers in medicine. This success has specifically propelled the development of mRNA-based cancer vaccines, a promising strategy designed to stimulate potent and specific anti-tumor immune responses.
However, a major hurdle remains: effectively delivering antigen-encoding mRNA to antigen-presenting cells (APCs) within lymphoid organs to trigger comprehensive innate and adaptive immunity.
The Challenge with Traditional LNPs
Lipid nanoparticles (LNPs) represent the most advanced delivery system for mRNA vaccines. Despite their success, traditional LNPs have a significant limitation—they tend to accumulate in the liver following systemic administration. Furthermore, classic LNPs rely on a complex four-component formulation (ionizable lipids, cholesterol, phospholipids, and PEG-lipids).
While researchers have attempted to target the spleen using anionic lipids or novel ionizable lipids, a simpler, more efficient solution was needed.
Enter OncoLRC: A Spleen-Tropic Solution
Recently, a research team led by Qiu Min at the Human Phenome Institute, Fudan University, published a study in Advanced Science titled “A Rationally Engineered Spleen-Tropic One-Component Lipid-mRNA Complex (OncoLRC) for Cancer Vaccines”.
The team developed OncoLRC, a rationally engineered, single-component delivery system based on dimethylamine (DMA) lipidoids. This innovative platform efficiently targets mRNA to APCs in the spleen, activating a robust anti-tumor immune response.

Fig.1 Mechanism underlying the cellular uptake of OncoLRC.1
How It Works: Rational Engineering
The researchers synthesized a series of lipidoids using DMA as the ionizable headgroup and identified H2T7 as the core candidate due to its high splenic expression.
Through a “four-step optimization method,” they simplified the formulation. They adjusted the lipid-to-mRNA ratio and removed auxiliary components like cholesterol and PEG. The result was a concise, single-component system named OncoLRC.
Key Advantages and Results
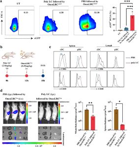
- Superior Targeting: OncoLRC achieves near-exclusive spleen targeting, outperforming traditional four-component LNPs. In vivo experiments showed mRNA expression almost entirely within splenic APCs.
- High Efficiency: OncoLRC requires a lipid-to-mRNA weight ratio of just 1.5:1, significantly lower than the typical 10:1 ratio of standard LNPs.
- Mechanism: The delivery is primarily mediated by macropinocytosis.
- Immune Activation: Delivering Ovalbumin (OVA) mRNA via OncoLRC promoted Dendritic Cell (DC) maturation and enhanced the secretion of endogenous cytokines like IL-12.
Therapeutic Potential
In “cold” tumor models (B16F10-OVA), OncoLRC demonstrated powerful prophylactic anti-tumor efficacy. When combined with immune checkpoint blockade (ICB) therapy, it produced a significant synergistic effect, effectively suppressing tumor growth.
This study presents a simple, highly efficient platform that overcomes the complexity and liver-accumulation issues of traditional systems, highlighting its potential for the next generation of mRNA cancer vaccines.
Accelerate Your mRNA Research with Creative Biolabs
Creative Biolabs offers comprehensive mRNA delivery services to support your vaccine and therapeutic development. Our expertise includes:
- Polymer-based Vector Development
- Hybrid Vector Development
- eVLP (Engineered Virus-Like Particle) Development
Reference
- Yin, Qimeng, et al. “A Rationally Engineered Spleen‐Tropic One‐Component Lipid‐mRNA Complex (OncoLRC) for Cancer Vaccines.” Advanced Science(2025): e12535. CC BY 4.0. https://doi.org/10.1002/advs.202512535
